Painless Root Canal Treatment (RCT)
Root canal treatment is one of the popular treatment that saves the tooth by removing the pulp tissue of the tooth.
Dr. Mehul's Dental Care provides Painless Root Canal Treatment with Advanced PROTAPER TECHNOLOGY (Dentsply USA) and RVG instant X-ray system. He is Specialist in single sitting painless Root Canal Treatment.
Indications of Root Canal Treatment
Infection of the tooth: In this case, an untreated decay of the tooth may lead to inflammation and infection of the pulp.
Trauma to the tooth: Any kind of trauma to the tooth will evoke a pulpal reaction. In many cases, the trauma might have occurred years back to be manifested as a new case of infection.
Root canal treatment process
- Following anesthesia, the inside of the tooth is revealed
- Afterwards, the root canals are opened and cleaned
- The filling of the root canals is done partially and completed at a later session after temporarily closing the tooth
- the last step is checking the filling with the help of an X-ray.
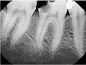
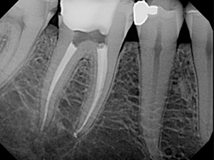
Images of case of RCT
Case : Single Sitting Protaper Molar Rct
Before Treatment
After Treatment


