Dental Implant
Dental implant are one of the most important advancements in dentistry, offering a modern day solution for missing teeth. They are small cylindrical titanium fixtures that replace missing tooth roots and they provide a stable base for replacement teeth that feel, function, and look like natural teeth.
Dental implant can replace a single tooth, several teeth, provide retention to your denture or can completely replace your denture.
Some reasons to love implant..!
1. An implant has the same strong chewing force as that of natural tooth.
The strength of chewing with denture accounts for only 1/20 of natural teeth. In contrast, the implant has the strength of chewing as a natural tooth. Therefore you can chew hard food well.
2.Economical and semi-permanent option.
Implant have been in existence since more than 30 years and over the last 10 years success rate is over 95% with proper personal and professional care. This has also lowered down the cost of implant due to increased demand.
3.Feels and acts as a natural tooth.
Dental implant have excellent esthetics function, looks and feels like natural tooth.
4.Protects your neighbouring teeth.
With bridge, your healthy adjacent teeth requires trimming and shaping and also it does not prevent jaw bone loss. A dental implant is placed only in gap where the tooth is lost and adjacent teeth are left untouched.
5.Relief from discomfort for wearing dentures.
You can be relieved from the gum pain, discomfort and bad breath that are related to wearing dentures. itsIncreased stability in full dentures. it can be fixed with implant supported denture.
6.Maintenance of healthy jaw bone and facial structures.
7.Chewing remains an enjoyable experience.
FAQ
From 1975 to 2004, dental implant success ranged between 90% to 100% under proper personal and professional care.
The treatment takes about one week from consultation to the first surgery for planned treatment and predictable outcomes. In planned cases it takes around 6 months for complete bone healing to take place
Although the initial cost is high, Implant are semi-permanent; thus they are actually cheaper because no additional cost is incurred as in bridge work or dentures.
Yes! if test of better bone quality & quantity proves that surgery is possible then age is not the barrier and can even be done in elderly patients.
No. Implant are made up of bio compatible titanium metal, the same as used in hip implant or any other orthopedic devices. They do not rust, corrode and are neither harmful to your body
After surgery, your face or gums feel stiff and sore. You might have discomfort for a couple of days but these symptoms will subside over time.
Not at all, since local anesthesia will be administered before surgery. In fact patients say "it's less painful than having a tooth pulled".
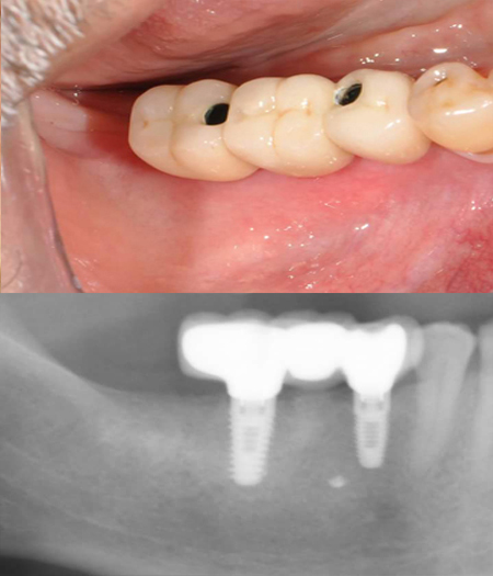
Images of some cases of Dental Implant
Case : Single implant placement in missing teeth site
Case : Two implant placed after removal of weak molar tooth then placed 3-unit bridge
Pre-treatment
After placement of implant
Post-treatment


