Gum Diseases
Did you ever have the feeling that ?
- people have avoided talking to you face to face because of bad smell from your mouth?
- There is bleeding while you brush?
- Teeth that are sensitive to hot or cold?
- Many more problems like red, swollen, receding gums or mobile teeth?
- The only culprits for these are bacteria seated in your gums.
Gum disease is an infection of the tissue surrounding and supported the teeth. It is a silent, chronic and painless infection that goes untreated or ignored until it has caused severe destruction.
Gum Surgery
A team of specialized dentist at Dr. Mehul's Dental Care takes care of surgeries required for various gum disorders like gum abscess, gum over growth, gum transplant or diseased gums etc.
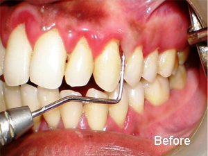
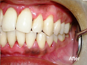
Images of some cases of Gum Surgery
Case : Inflamed with deep pocket gum treated with deep cleaning and curettage
Case : Severe reddish inflamed gum treated with flap surgery and gingivectomy
Gingivectomy
Excessive gum show during smiling or commonly known as gummy smile can really turn down ones confidence or can make you conscious every time you want to laugh whole heartedly.....
Gingivectomy or treatment of gummy smile can be done by removing that extra bit of gum, which can certainly give your smile a make over of life time. It can also make your small teeth look bigger giving you the smile you always wanted. Totally painless and affordable...
Then what are you waiting for?? Hurry for a new look!!
Images of some case of Gingivectomy
CASE 1
CASE 2
Depigmentation
Dark gums results from heavy melanin deposition in in your superficial tissue layer of your gums/ gingiva. Your perfectly aligned teeth set or your beautiful pearls can be over shadowed due to your dark gums!! Don't let it ruin your smile...
With the help of depigmentation procedure get a healthy pink gorgeous gums without any pain or discomfort.
Images of some case of Depigmentation


