Crown & Bridge
Dental Crown
Dental Crown are custom designed caps that fit over your existing tooth to increase its strength and restore the appearance and function of weak, misshapen or cracked teeth. In many cases the people you meet won`t be able to find your crown from your natural teeth.
Dental Bridge
Dental Bridge uses crown on either side of tooth gap to support false teeth which makes it easier to chew and prevents teeth from being misaligned. To maintain the shape of the face, avoid teeth misalignment and to alleviate stress on other teeth, it is important to have missing teeth replaced.
The biggest disadvantage with dental bridge is the cut down of healthy neighbouring teeth to support missing teeth. But you can save healthy neighbouring teeth by Dental Implants.
Various Types of Crown & Bridges:
Full Metal crown
Ceramic PFM (Porcelain fused to metal)
Ceramic CAD-CAM PFM ( Tilite PFM) (7 Year Warranty*)
Ceramic DMLS PFM (Direct Metal Laser Sintering System) (10 Year Warranty*)
Ceramic Metal Free (CAD-CAM Zirconia , Ultratranslucent , Bruxzir) (5 to 15 Year Warranty*)
Premium Metal Free Products e.g 3M Lava (Monolith, Essential, Translucent) (5 to 15 Year Warranty*)
Images of some cases of crown & bridges
Case : Old Metal ceramic crown replace with metal free ultra translucent crown
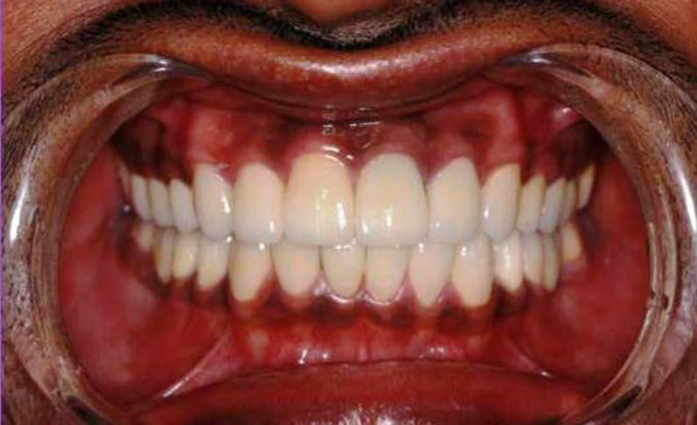
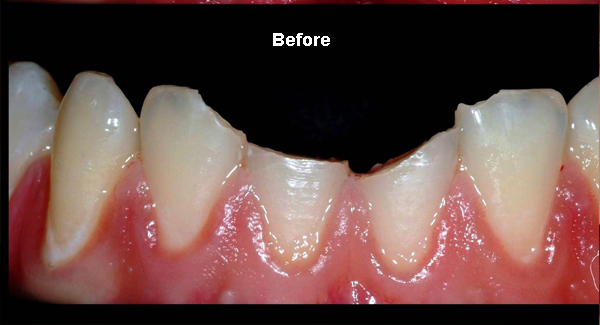
Case : fractured teeth are replace with metal free ultra translucent crown
Case : Missing teeth are replace with ceramic bridge
Case : All grind teeth are replace with metal free ceramic ( zirconia ) bridge
Pre-treatment
Cutting of teeth
Post-treatment


